Another entry to our continuing series of lab milestones… Today Abigail Pickett was in action presenting her work from last semester at the Masters in Research poster session. Here she is with her poster, looking suitably pleased with herself!


Abi’s work has focused on our favourite protein LaNt a31 in breast cancer and she has some pretty dramatic findings.
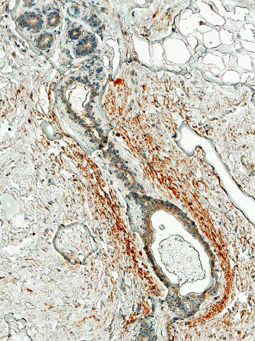
Her project used immunohistochemistry (using antibodies against a specific protein to probe a tissue and then detecting where the antibodies have bound using a chemical reaction – wherever you see brown, the antibody has stuck and we interpret that as being where our target is located). One of her images to the left here shows LaNt a31 in the basement membrane of a breast terminal ductal unit.
This is the first time anyone has investigated this protein in breast and breast cancer. We specifically investigated whether the expression or distribution of LaNt changes in breast cancer? Is it increased when cancers become metastatic, and also does the change in staining help to identify a specific subset of patients. There is a lot of data here (~200 patients) but the simple answer is yes, yes, and yes!
This is a relatively new research direction for us, but its really exciting. When you combine these data with lots of work Lee Troughton has been doing (who also was Abi’s main supervisor), things are beginning to fall into place; the data suggest that LaNt could be a new target for cancer drug development. There’s more to come from this story, watch this space!

Abi is moving on with her lab rotations next week, but we have two new people starting Chloe and Emily. More fun times ahead.
Want to know more about our projects? Some starter information available here; Laminins, LaNts, basement membranes.
Want to get involved? PhD position available just now for a slightly different but related project. Or subscribe for announcements of upcoming opportunities.
