Last night, I had the privilege of delivering a talk at Pint of Science held at the Ship and Mitre … More
Tag: laminins
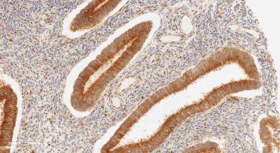
New paper published – Laminin N-terminus alpha31 (LaNt a31) protein distribution in adult human tissues
New paper out – LaNt a31 distribution in human tissue.
Cool pics galore!
New paper out – the road to conjunctival happiness
Overview of our paper:
Mass Spectrometry Reveals α-2-HS-Glycoprotein as a Key Early Extracellular Matrix Protein for Conjunctival Cells
GOL – Common knowledge
Game of laminins in honour of the #BSMBLpool and the opening to every #laminin talk / paper / poster!
